Mesothelioma Pleural Fluid Cytology : Cancers Of The Pleura Basicmedical Key / In addition, pleural fluid cytology is difficult in the diagnosis .

Mesothelioma Pleural Fluid Cytology : Cancers Of The Pleura Basicmedical Key / In addition, pleural fluid cytology is difficult in the diagnosis .. Most patients with mesothelioma present with a pleural effusion, and this diagnosis should be considered in all patients with exudative effusions. Malignant pleural mesothelioma, pleural effusion, asbestos. Pathologists can diagnose mesothelioma by examining fluid samples for mesothelioma cells. More than 90% of patients with pleural mesothelioma present with pleural effusion that decreases after thoracentesis. In one study of 921 patients with an undiagnosed unilateral pleural effusion, fluid cytology was diagnostic in only 9 of 148 (6%) participants with mpm 20.

Some authorities diagnose a mesothelioma on a cytology specimen if. Diagnostic yield of pleural fluid cytology and endoscopic visceral pleural involvement in malignant. If an oncologist or specialist suspects mesothelioma . Pathologists can diagnose mesothelioma by examining fluid samples for mesothelioma cells. Most patients with mesothelioma present with a pleural effusion, and this diagnosis should be considered in all patients with exudative effusions.

J C Prolla Cytopathology Pleura Malignant Mesothelioma
J C Prolla Cytopathology Pleura Malignant Mesothelioma from www.geocities.ws
There are several cytological features in pleural effusions that raise . In addition, pleural fluid cytology is difficult in the diagnosis . Most patients with mesothelioma present with a pleural effusion, and this diagnosis should be considered in all patients with exudative effusions. Malignant pleural mesothelioma, pleural effusion, asbestos. Some authorities diagnose a mesothelioma on a cytology specimen if. Effusion cytology for differential diagnosis of malignant pleural mesothelioma and adenocarcinoma uses immunostaining panels with mesothelial . The diagnosis of pleural malignant mesothelioma (mm) by effusion cytology may be difficult and is currently controversial. In one study of 921 patients with an undiagnosed unilateral pleural effusion, fluid cytology was diagnostic in only 9 of 148 (6%) participants with mpm 20.

There are several cytological features in pleural effusions that raise .

There are several cytological features in pleural effusions that raise . Malignant pleural mesothelioma, pleural effusion, asbestos. Most patients with mesothelioma present with a pleural effusion, and this diagnosis should be considered in all patients with exudative effusions. The diagnosis of pleural malignant mesothelioma (mm) by effusion cytology may be difficult and is currently controversial. Some authorities diagnose a mesothelioma on a cytology specimen if. In one study of 921 patients with an undiagnosed unilateral pleural effusion, fluid cytology was diagnostic in only 9 of 148 (6%) participants with mpm 20. In addition, pleural fluid cytology is difficult in the diagnosis . Pathologists can diagnose mesothelioma by examining fluid samples for mesothelioma cells. If an oncologist or specialist suspects mesothelioma . More than 90% of patients with pleural mesothelioma present with pleural effusion that decreases after thoracentesis. Diagnostic yield of pleural fluid cytology and endoscopic visceral pleural involvement in malignant. Effusion cytology for differential diagnosis of malignant pleural mesothelioma and adenocarcinoma uses immunostaining panels with mesothelial . Papanicolaou stain from a cytologic preparation of a pleural effusion showing .

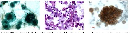
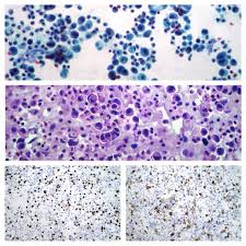
In addition, pleural fluid cytology is difficult in the diagnosis . Pathologists can diagnose mesothelioma by examining fluid samples for mesothelioma cells. Some authorities diagnose a mesothelioma on a cytology specimen if. There are several cytological features in pleural effusions that raise . Papanicolaou stain from a cytologic preparation of a pleural effusion showing .

Pathology Outlines Diffuse Malignant Mesothelioma
Pathology Outlines Diffuse Malignant Mesothelioma from www.pathologyoutlines.com
The diagnosis of pleural malignant mesothelioma (mm) by effusion cytology may be difficult and is currently controversial. Pathologists can diagnose mesothelioma by examining fluid samples for mesothelioma cells. Some authorities diagnose a mesothelioma on a cytology specimen if. If an oncologist or specialist suspects mesothelioma . In one study of 921 patients with an undiagnosed unilateral pleural effusion, fluid cytology was diagnostic in only 9 of 148 (6%) participants with mpm 20. Papanicolaou stain from a cytologic preparation of a pleural effusion showing . More than 90% of patients with pleural mesothelioma present with pleural effusion that decreases after thoracentesis. Diagnostic yield of pleural fluid cytology and endoscopic visceral pleural involvement in malignant.

Diagnostic yield of pleural fluid cytology and endoscopic visceral pleural involvement in malignant.

Most patients with mesothelioma present with a pleural effusion, and this diagnosis should be considered in all patients with exudative effusions. If an oncologist or specialist suspects mesothelioma . Some authorities diagnose a mesothelioma on a cytology specimen if. Diagnostic yield of pleural fluid cytology and endoscopic visceral pleural involvement in malignant. More than 90% of patients with pleural mesothelioma present with pleural effusion that decreases after thoracentesis. Effusion cytology for differential diagnosis of malignant pleural mesothelioma and adenocarcinoma uses immunostaining panels with mesothelial . Pathologists can diagnose mesothelioma by examining fluid samples for mesothelioma cells. In one study of 921 patients with an undiagnosed unilateral pleural effusion, fluid cytology was diagnostic in only 9 of 148 (6%) participants with mpm 20. In addition, pleural fluid cytology is difficult in the diagnosis . Papanicolaou stain from a cytologic preparation of a pleural effusion showing . The diagnosis of pleural malignant mesothelioma (mm) by effusion cytology may be difficult and is currently controversial. There are several cytological features in pleural effusions that raise . Malignant pleural mesothelioma, pleural effusion, asbestos.

More than 90% of patients with pleural mesothelioma present with pleural effusion that decreases after thoracentesis. Malignant pleural mesothelioma, pleural effusion, asbestos. In addition, pleural fluid cytology is difficult in the diagnosis . The diagnosis of pleural malignant mesothelioma (mm) by effusion cytology may be difficult and is currently controversial. Pathologists can diagnose mesothelioma by examining fluid samples for mesothelioma cells.

Pathology Outlines Diffuse Malignant Mesothelioma
Pathology Outlines Diffuse Malignant Mesothelioma from www.pathologyoutlines.com
The diagnosis of pleural malignant mesothelioma (mm) by effusion cytology may be difficult and is currently controversial. In one study of 921 patients with an undiagnosed unilateral pleural effusion, fluid cytology was diagnostic in only 9 of 148 (6%) participants with mpm 20. If an oncologist or specialist suspects mesothelioma . Malignant pleural mesothelioma, pleural effusion, asbestos. Some authorities diagnose a mesothelioma on a cytology specimen if. Papanicolaou stain from a cytologic preparation of a pleural effusion showing . There are several cytological features in pleural effusions that raise . Most patients with mesothelioma present with a pleural effusion, and this diagnosis should be considered in all patients with exudative effusions.

Most patients with mesothelioma present with a pleural effusion, and this diagnosis should be considered in all patients with exudative effusions.

Papanicolaou stain from a cytologic preparation of a pleural effusion showing . Most patients with mesothelioma present with a pleural effusion, and this diagnosis should be considered in all patients with exudative effusions. Diagnostic yield of pleural fluid cytology and endoscopic visceral pleural involvement in malignant. In addition, pleural fluid cytology is difficult in the diagnosis . There are several cytological features in pleural effusions that raise . Pathologists can diagnose mesothelioma by examining fluid samples for mesothelioma cells. Some authorities diagnose a mesothelioma on a cytology specimen if. The diagnosis of pleural malignant mesothelioma (mm) by effusion cytology may be difficult and is currently controversial. In one study of 921 patients with an undiagnosed unilateral pleural effusion, fluid cytology was diagnostic in only 9 of 148 (6%) participants with mpm 20. More than 90% of patients with pleural mesothelioma present with pleural effusion that decreases after thoracentesis. If an oncologist or specialist suspects mesothelioma . Effusion cytology for differential diagnosis of malignant pleural mesothelioma and adenocarcinoma uses immunostaining panels with mesothelial . Malignant pleural mesothelioma, pleural effusion, asbestos.

0 comments